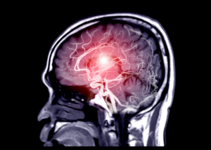
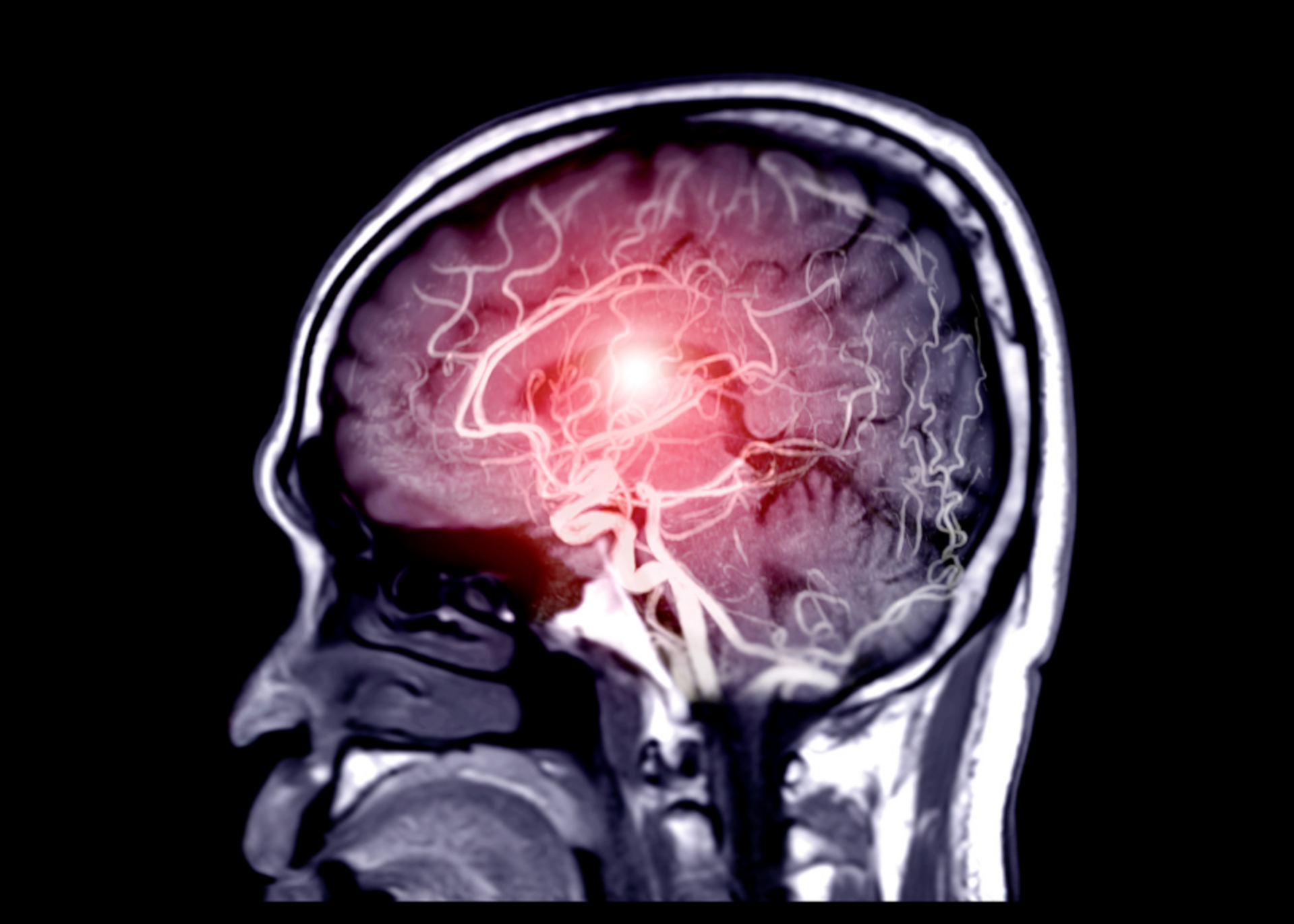
Aneurysm Clipping & Endovascular Coiling
Arteriovenous Malformation (AVM) Surgery
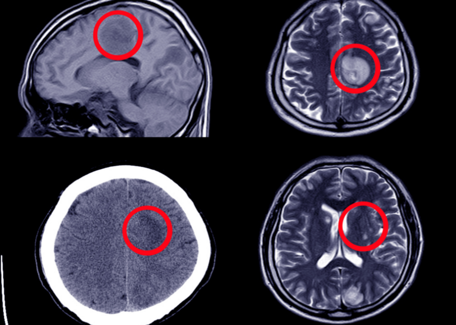
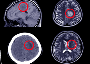
Traumatic Brain & Spine Injury Surgery
Spinal Fusion Surgery for Instability
Laminectomy & Decompression for Spinal Stenosis
Minimally Invasive Spine Surgery
Scoliosis & Spinal Deformity Correction
Ask Question
AboutMyClinic